Dental Project 2025-11-08 Case Report: Severe Tooth Structure Defect Restored with Zirconia Post and Core
Dental Project 2025-11-08 Case Report: Severe Tooth Structure Defect Restored with Zirconia Post and Core
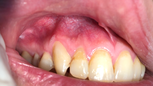
Dental Project 2025-11-07 Case Prepration of Aesthetic Restoration of Maxillary Anterior Teeth with Ceramic Crowns