Dental Project 2025-11-30 Is professional dental cleaning necessary even if you brush your teeth every day?
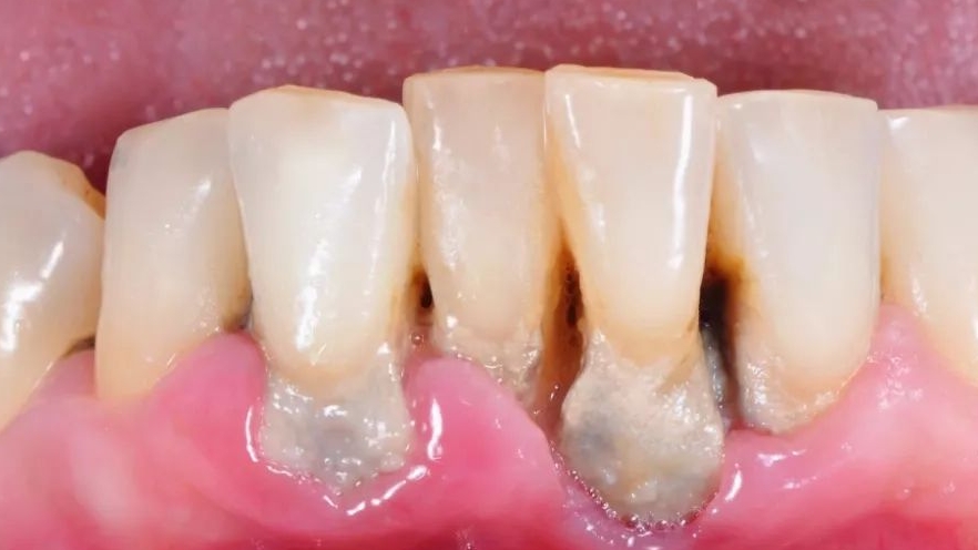
Dental Project 2025-11-23 Subgingival Calculus: The "Invisible Saboteur" Silently Destroying Your Tooth Roots!