Why Are Porcelain-Fused-to-Metal (PFM) Crowns Not Recommended?
Why Are Porcelain-Fused-to-Metal (PFM) Crowns Not Recommended?

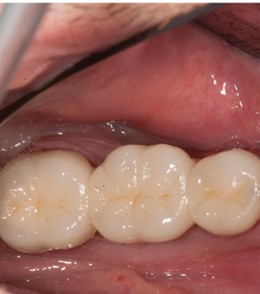
PFM crowns

Porcelain crowns
In addition to the ab Porcelain-Fused-to-Metal (PFM) Crowns ove problems, the aesth
etics of PFM crowns is also an important factor.Over t ime, the color of PFM crowns may change and become less natural.Moreover, with the advancement of materials science, modern all-ceramic materials have significantly improved biocompatibility and aesthetics.Therefore, patients with high aesthetic requirements may consider replacing PFM crowns with all-ceramic crowns.

Why Are Porcelain-Fused-to-Metal (PFM) Crowns Not Recommended?Porcelain-fused-to-metal crowns, as a common dental restoration method, have accompanied many patients for years.However, over time, many patients begin to wonder: Do PFM crowns need to be replaced after long-term wear?There is no simple answer to this question, as it depends on multiple factors, including the usage condition of the PFM crown, oral health status, and personal needs.
1. Lifespan
The service life of PFM crowns is an important consideration.Generally, high-quality PFM crowns with proper maintenance can last more than 10 years, or even longer.However, this does not mean all PFM crowns can "maintain their condition permanently."

2. Common problem
Chipping:Chipping is one of the common problems with PFM crowns.Patients who often bite hard objects or have bad occlusion habits, such as tearing plastic bags or biting bottle caps, are prone to chipping.Chipping not only affects aesthetics but also reduces oral comfort and may even cause traumatic oral ulcers.Therefore, it is recommended to replace the PFM crown in a timely manner once chipping occurs.
Gingival dark lines:Gingival dark lines are another common issue.When some PFM crowns with metal substructures exist in the oral cavity for a long time, metal ions will be slowly released into the gingival tissue, leading to gingival dark lines.This not only impacts appearance but also may trigger oral problems such as gingivitis and periodontitis.Thus, if gingival dark lines appear, prompt replacement of the PFM crown is advisable.
Secondary caries on the abutment tooth:Secondary caries on the abutment tooth is also a matter of concern.If the fit between the PFM crown and the abutment tooth is insufficient, bacteria may enter the interior of the crown, causing secondary caries on the abutment tooth.Once secondary caries occurs, the abutment tooth needs to be repaired first, and then a new PFM crown should be fabricated.

3. Aesthetics and material upgrade
In addition to the above problems, the aesthetics of PFM crowns is also an important factor.Over time, the color of PFM crowns may change and become less natural.Moreover, with the advancement of materials science, modern all-ceramic materials have significantly improved biocompatibility and aesthetics.Therefore, patients with high aesthetic requirements may consider replacing PFM crowns with all-ceramic crowns.