Is professional dental cleaning necessary even if you brush your teeth every day?
Is Professional Teeth Cleaning Necessary Even with Daily Brushing?

"Brushing in the morning and evening, and rinsing after meals" is perhaps the common oral hygiene knowledge most people have been taught since childhood. In daily life, many individuals maintain the habit of brushing their teeth daily but remain uninterested in professional teeth cleaning, or even harbor doubts: If I already brush my teeth conscientiously every day, why do dentists repeatedly recommend regular professional cleanings? Could it be an unnecessary step? In fact, this touches upon a key aspect of oral cleaning that is easily overlooked. Professional teeth cleaning is not superfluous; rather, it serves as a crucial supplement to daily oral care .
The Limitations of Toothbrushing: Are We Really Cleaning Thoroughly?

Toothbrushing is indeed the foundation of daily oral care, but its effectiveness is far from perfect . Even with diligent daily brushing, most people are unable to completely control the formation of dental plaque . Dental plaque is a biofilm composed of bacteria, food debris, and saliva that continuously reforms on the tooth surfaces . It particularly thrives in areas difficult to reach by toothbrushes, such as between the teeth (interproximal areas) and within the gingival sulcus .
2. The Essence of Professional Teeth Cleaning: A Deep Clean

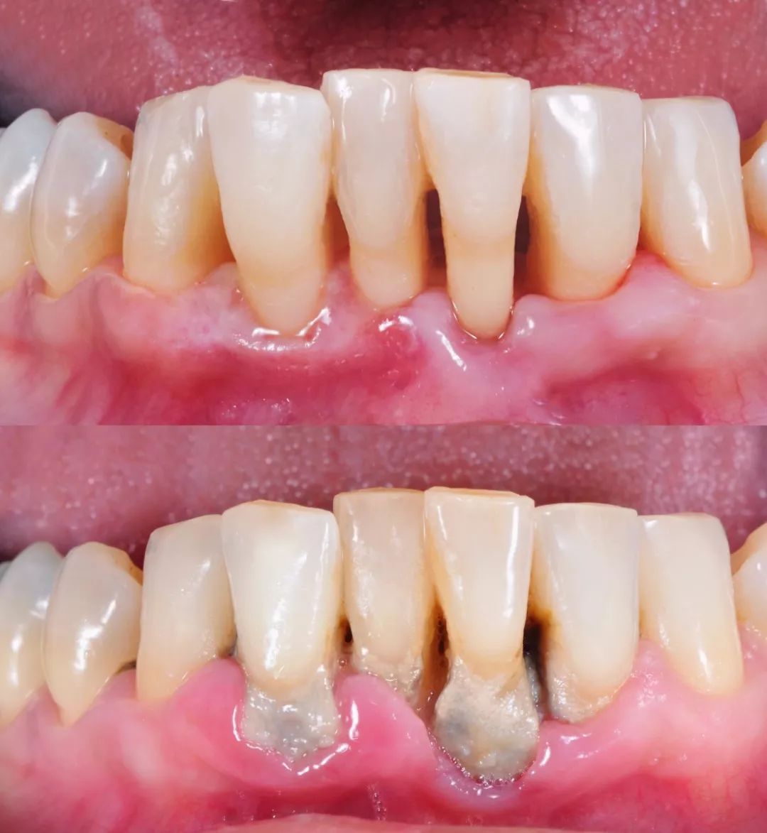
Professional teeth cleaning, medically referred to as "supragingival scaling" , is the process of using specialized instruments to remove supragingival calculus (tartar), plaque, and stains from the teeth . Unlike daily brushing, professional cleaning can access and thoroughly clean areas that toothbrushes cannot effectively reach, such as the gumline and deep between the teeth, effectively removing established calculus and tenacious plaque deposits .
3. The Five Core Benefits of Professional Teeth Cleaning

Thorough Removal of Plaque and Calculus: Addresses deep cleaning issues that brushing cannot handle, eliminating the primary cause of periodontal diseases .
Prevention and Treatment of Gingival Diseases: Effectively controls gingivitis and periodontitis, reducing problems like gingival bleeding and halitosis (bad breath) .
Maintenance of Alveolar Bone Health: By controlling inflammation, it helps maintain the height of the alveolar bone, preventing tooth loosening and loss .
Early Detection of Problems: During the cleaning process, dentists can identify early signs of issues like dental caries (dental caries or tooth decay ) and gingival abnormalities .
Improvement of Overall Health: Research indicates a significant correlation between periodontal health and systemic health conditions like cardiovascular disease and diabetes .
4. Addressing Common Misconceptions About Professional Teeth Cleaning
Misconception 1: "Teeth cleaning damages the tooth enamel."
When performed by a qualified professional in a government (regular hospital) using correct techniques, teeth cleaning does not harm the tooth's protective layer, the enamel . Enamel is the hardest tissue in the human body, and standard ultrasonic scaling does not damage it. The sensation of "fragments coming off" is actually the process of calculus being removed .
Misconception 2: "Teeth cleaning makes gaps between teeth larger."
Many people feel increased gaps after cleaning. This is actually a normal phenomenon as the gums return to their original state after the space previously occupied by calculus is cleared . The exposure of this space creates an illusion of widening gaps, not caused by the cleaning itself .
Misconception 3: "No discomfort means no need for cleaning."
This is a dangerous misunderstanding. Periodontal diseases often have no obvious symptoms in their early stages . By the time bleeding, swelling, pain, or tooth mobility occur, the damage is often irreversible. Regular professional cleaning is a preventive, not just a treatment, measure – much like a physical examination .
5. Frequency of Professional Cleaning: Personalized Recommendations

So, how often is professional cleaning needed? General suggestions are :
General Population: Every 6 to 12 months.

Individuals with Poorer Periodontal Conditions: May require cleaning every 3 to 6 months.
Individuals with Excellent Oral Hygiene Habits: After dental assessment, the interval might be extended appropriately.
However, the decision for professional cleaning should not be based solely on self-assessment. The final recommendation should be made by a dental professional based on the specific clinical findings of the patient's oral cavity . Even if one believes their brushing is thorough, if the dentist identifies calculus or poor plaque control during an examination, professional cleaning is still recommended . Regular check-ups allow dentists to detect early disease signs and practice preventive care .