Case Report of Immediate Implant Placement After Tooth Extraction
Patient: Male, 32 years old
Initial Visit Date: May 4, 2025
Chief Complaint: Pain and discomfort in the right mandibular posterior teeth for one week
Clinical Diagnosis
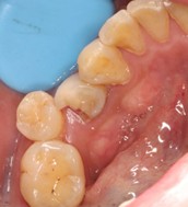
Secondary caries is present beneath the dental hard tissue. The residual tooth structure is fragile. Bifurcation is detected in the apical third of the root canal, with deviation of the root canal orifice. The long-term efficacy of root canal therapy cannot be guaranteed.

Treatment Protocol
After full communication with the patient, the residual root was extracted, and immediate implant placement was performed in the same surgical session. One bottle of bone graft material and one piece of collagen membrane were applied during the procedure. A 6-month healing period was scheduled. After achieving favorable osseointegration, the second-stage implant surgery was carried out, followed by impression taking, crown fabrication, and definitive crown placement.
Total Treatment Duration: 6 months
Preoperative Images


May 4, 2025: Extraction of the affected tooth.


Immediate implant placement (first-stage surgery) was performed right after tooth extraction.

Postoperative CT scans and intraoral photographs were obtained.

November 23, 2025: Implant follow-up examination. The implant surgical site showed excellent healing, with no abnormal bone density around the implant and satisfactory osteogenesis. The third-stage impression taking was implemented. The panoramic radiograph below confirmed the complete seating of the implant impression coping.




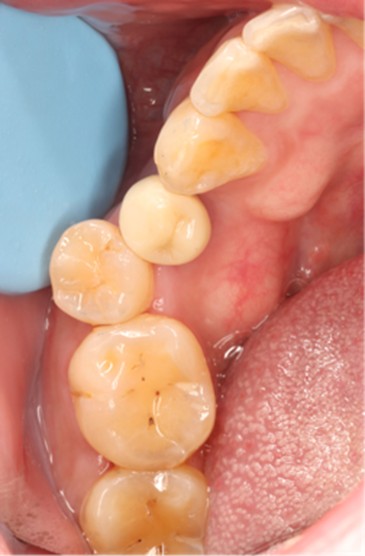
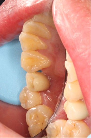
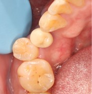
December 4, 2025: Definitive crown delivery. The margin of the implant-supported crown exhibited optimal adaptation.



Pre- and Post-Restorative Comparison


Publiced by Dentist Tao from Lokmachau Branch