Wedge-shaped Defects
The Hidden Harm of Wrong Brushing Habits: Wedge-shaped Defects and Their Prevention
"Brush your teeth hard, otherwise you can’t get them clean!" "Horizontal brushing is more efficient; you can finish it in a few strokes" — these are deep-rooted brushing habits for many people. What you may not know is that this vigorous horizontal brushing is quietly wearing down your teeth and causing a dental problem called wedge-shaped defect.

I. What is a Wedge-shaped Defect?
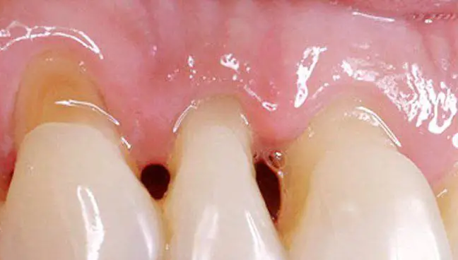
Simply put, it refers to a wedge-like small groove that appears on the cervical area of the tooth (the junction between the tooth and the gum). The groove has a smooth surface and neat edges, which may only be a few millimeters deep in the early stage but will gradually deepen over time. More than 60% of adults have wedge-shaped defects to varying degrees, and 80% of these cases are directly related to incorrect brushing methods.

II. Wedge-shaped Defect: More Than Just a "Small Groove" — Its Hazards Cannot Be Hidden
Many people take it lightly when they find a groove on the cervical area of their teeth, thinking that "it doesn’t hurt or itch, so there’s no need to deal with it". However, its hazards will gradually show up:
Dental Hypersensitivity: In the early stage, transient tingling may occur when exposed to cold, hot, sour, or sweet food. This is because the groove has worn away the enamel on the tooth surface, exposing the underlying sensitive dentin.
Deepening of the Defect: Without long-term intervention, the groove will become deeper and deeper, and even the color of the internal dentin (pale yellow) can be seen. Mild bleeding may occur during brushing.
Pulpitis/Periapical Periodontitis: When the defect extends to the pulp cavity, bacteria can easily invade, causing severe toothache and swollen gums. In severe cases, root canal treatment is required.
Tooth Fracture: If the wedge-shaped defect is too large, the cervical part of the tooth will become weak, and horizontal fracture may occur when biting hard objects, which may even require tooth extraction.
In addition to incorrect brushing, two other factors can aggravate wedge-shaped defects:
First, the cervical area of the tooth is inherently a weak zone, where enamel and cementum meet, and it has poor wear resistance by nature.
Second, long-term consumption of carbonated drinks, coffee, strong tea, or frequent acid reflux can cause enamel demineralization. Combined with brushing friction, grooves will form more quickly.

III. Say Goodbye to Wedge-shaped Defects: The Correct Two-step Brushing Method to Protect Your Teeth from Damage
To prevent wedge-shaped defects from worsening, the core is to correct your brushing habits and remember these three key points:
Choose the Right Tools: Soft-bristled Toothbrush and Fluoride Toothpaste; Avoid Hard Brushing
Toothbrush: Choose a soft-bristled, small-headed one. Soft bristles can reduce friction on the cervical area of the tooth, and the small head can more easily reach the interdental spaces, avoiding excessive pressure.
Toothpaste: Choose a fluoride-containing one. Fluoride can strengthen enamel, improve the wear resistance and acid resistance of teeth, and reduce the risk of defect deepening.
Adopt the Correct Method: Bass Brushing Technique — Gentle Angled Brushing Instead of Vigorous Horizontal Brushing
This is the standard brushing method recommended by dentistry, and the steps are simple:
When brushing, hold the toothbrush at a 45-degree angle to the tooth surface, and gently insert the bristles into the gaps between the gums and teeth.
Clean in a small circular motion or vertical brushing: brush the upper teeth downward and the lower teeth upward, brushing each area 3–5 times. The force should be gentle enough to make the bristles slightly bend (as soft as holding a bird, without causing gum pain).
Avoid sawing-like horizontal brushing: During horizontal brushing, the bristles rub against the cervical area like a saw, which will inevitably wear out grooves over time.

IV. Already Have a Wedge-shaped Defect? Here’s the Right Way to Deal with It
If you have already found a groove on the cervical area of your tooth or are experiencing dental hypersensitivity:
Mild Hypersensitivity: Use desensitizing toothpaste (continuous use for 1–2 weeks will show effects) and avoid cold, hot, sour, and sweet stimuli.
Deep Defect (over 1mm deep) or Severe Hypersensitivity: Visit the dentistry department in a timely manner. The dentist will fill the groove with resin materials to prevent further wear.
Toothache or Swollen Gums: This indicates that the dental pulp may have been damaged. It is necessary to undergo root canal treatment as soon as possible to save the tooth.