Pay attention to oral hygiene and Pay attention to oral health
If you pay attention to oral hygiene and pay attention to oral health, you can go to the dentist regularly for 3D CT examinations. The dentist will analyze the specific condition of the mouth, and your teeth will not have toothache without accidents.

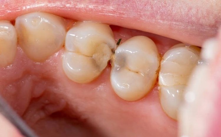
There is a situation where when you have a toothache, you go to the hospital for a check-up and find out that it may be because of impacted wisdom teeth. (The other three wisdom teeth may also be impacted and push against the adjacent teeth, but they are not injured yet. Condition)
Impacted wisdom teeth can cause several types of harm when they grow later.
1. When impacted wisdom teeth grow, they injure adjacent teeth. The dental nerve becomes infected and inflamed, causing severe pain. The dental nerve dies, and the periodontium may be sealed.

Treatment method: First remove the impacted wisdom tooth on the painful side (possibly both the upper and lower teeth), and then perform root canal treatment on the adjacent teeth. (The doctor may arrange to remove one or two wisdom teeth on the other side while removing the sutures. Impacted wisdom teeth only)

2. When impacted wisdom teeth grow, the roots of adjacent teeth are squeezed and broken, and the dental nerves become infected and inflamed, causing severe pain. The adjacent teeth cannot be reworked and can only be extracted.

Treatment method: After the adjacent teeth and the impacted wisdom teeth (possibly both the upper and lower teeth) are removed together, (the doctor may arrange to remove one or two impacted wisdom teeth on the other side while removing the sutures) and wait three months to see the adjacent teeth. Based on the healing of the frontal bone, dental implants can be used to replace the adjacent teeth.

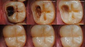
3. A deep blind pocket will be formed between the impacted wisdom teeth and the surrounding gums, which can easily cause food residues to stick to the tooth surface, thereby accumulating for a long time, gradually forming bacterial infection, and deep caries can reach Deep in the dentin, close to the pulp, or may have affected the pulp, causing severe pain.
The above types are caused by not paying attention to oral health and not having oral examination for a long time.
In another situation, when you have a toothache, you go to the hospital for a check-up and find out that it may be due to deep tooth decay, causing the root of the tooth to become infected, inflamed and painful.

After examination, the doctor determined that the tooth nerve was infected and required root treatment. There were many cavities in the mouth and multiple fillings were needed.
This type of tooth decay can be caused by not paying attention to oral hygiene, not cleaning and cleaning your teeth regularly, and having regular check-ups.

The dentist recommends paying attention to oral hygiene and taking oral health seriously. Visit the dentist regularly for 3D CT examination. The dentist will analyze the specific condition of the oral cavity.
When you travel to Hong Kong or Shenzhen, you can make an appointment for a free CBCT examination at any of our branches. All VicKong Dental branches are located at various ports in Shenzhen and Zhuhai.
Let VicKong Dental be your dental family doctor, please contact me via WhatsApp.