Dental Decay Types and the Critical Need for Timely Fillings
The Basics of Dental Decay
Dental decay, or caries, is a common oral health issue caused by bacterial acid erosion of tooth structure. Understanding its classifications and the urgency of treatment (e.g., dental fillings) is key to preserving oral health.
Classifications of Dental Decay: Types and Clinical Names
Dental caries are categorized by location, depth, and tissue involvement. Here are the primary types:
1. By Anatomical Location
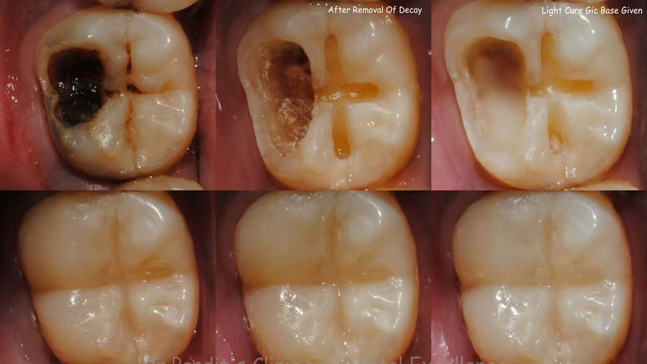
- Pit and Fissure Caries

Occurs in the grooves (fissures) and pits of posterior teeth (molars/premolars), where bacteria accumulate easily.
Clinical Relevance: Most common in children and adolescents due to deep occlusal surfaces.
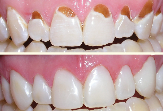
- Smooth Surface Caries

Affects the smooth enamel surfaces of teeth (e.g., between teeth or near the gum line).
- Enamel Caries (Initial Stage): Limited to the outer enamel layer (e.g., white spot lesions).
- Dentin Caries: Progresses into the dentin, causing deeper lesions.
- Root Caries
Develops on the root surfaces, often in patients with gum recession, exposing root dentin to bacterial attack.
2. By Depth and Tissue Involvement

- Primary Caries
New lesions in previously healthy tooth structure (enamel/dentin).
- Secondary/Recurrent Caries
Decay around existing dental restorations due to marginal leakage or poor seal.
- Acute vs. Chronic Caries
- Acute Caries: Rapid progression, often painful, with soft, wet lesion texture.
- Chronic Caries: Slow progression, with hard, dry lesions and possible enamel remineralization if caught early.
Why Timely Dental Fillings Are Non-Negotiable: Urgency and Importance
1. Urgency: Preventing Progressive Damage
- Stop Lesion Spread: Unfilled cavities progress from enamel → dentin → pulp (dental nerve), leading to pulpitis (inflammation) and potentially periapical abscesses—which may require root canals or extractions.
- Pain and Functionality: Deep lesions cause sensitivity to temperature/sweet foods; untreated decay can lead to fractured teeth due to structural weakness.
- Infection Risk: Bacterial invasion from advanced caries may spread systemically, impacting overall health (e.g., diabetic complications, cardiovascular risks).
2. Importance: Restoring Form and Function
- Structural Integrity: Fillings (e.g., composite resin, amalgam, ceramic) remove decayed tissue and restore tooth shape, enabling proper chewing and speech.
- Aesthetic Preservation: Tooth-colored composites blend with natural enamel, ideal for anterior teeth, while preventing unsightly brown/black lesions.
- Long-Term Cost Savings: Early fillings are far less invasive and costly than treating advanced infections (e.g., root canals, dental implants).
