composite resin veneers vs. porcelain veneers
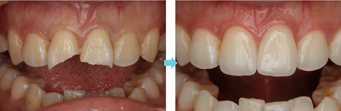
Yellow, Damaged, or Gapped Teeth? When Your Smile Becomes Your Social Calling Card, More People Are Choosing Veneers to Regain Confidence.
Among the dazzling array of cosmetic dental solutions, the choice between "composite resin veneers vs. porcelain veneers" often leaves patients in a dilemma. Today, we’ll unveil the truth behind these two options—using facts to show why porcelain veneers are the smarter investment!

I. Core Showdown: Material Determines Destiny
The performance of dental veneers is determined by their material from the start:
Composite Resin Veneers:
l Made of composite resin, similar to a "plastic" material.
l Low hardness (200-300 MPa), prone to wear and deformation from daily chewing.
l Susceptible to staining from coffee, red wine, etc., often turning yellow within 1-2 years.
Porcelain Veneers:
l Crafted from medical-grade ceramics (e.g., feldspathic porcelain, lithium disilicate), mimicking natural enamel.
l High hardness (400-600 MPa), 2x more wear-resistant than resin.
l Smooth, stain-resistant surface maintains brightness for over a decade.
💎 Key Fact: Clinical studies show that after 5 years, >60% of resin veneers show significant wear, while 70% of porcelain veneers remain intact after 10 years.

II. Aesthetics: Which One Blends Naturally, Which One Looks Fake?
A natural smile hinges on subtle details:
Composite Resin Veneers:
l Limited shade options, often creating a mismatched "patchwork" effect.
l Weak luster, appearing dull and artificial over time.
Porcelain Veneers:
l Customizable with 16+ shade levels, matching natural tooth translucency.
l Light reflection identical to real teeth—even dentists struggle to spot them.
😊 Patient Feedback: >80% of users rate porcelain veneers as far superior in aesthetics compared to resin.
III. Health & Safety: Don’t Let Beauty Harm Your Teeth
Veneers aren’t just about looks—they impact oral health:
Composite Resin Veneers:
l May release trace chemicals, irritating gums (5-10% incidence of inflammation).
l Prone to bacterial buildup at bonding edges, increasing cavity risk.
Porcelain Veneers:
l Biocompatible (near 0% allergy rate), gum complication risk <5%.
l Precision-fit edges block bacterial infiltration.
⚠️ Pro Tip: Porcelain veneers require only 0.2-0.7mm enamel removal (less than resin), preserving more natural tooth structure.
IV. Long-Term Value: Cheap ≠ Cost-Effective!
Upfront cost is just the tip of the iceberg—durability is the hidden expense:
Comparison Preject | composite resin veneers | porcelain veneers |
Unit price | 300-1500 | 2500-4000 |
Life span | 3-5 Year(Splintery ) | 10-15 year(Good maintain) |
Maintain cost | Regular polish, Change | Regular check up |
✅ Smart Choice: Over 15 years, porcelain veneers’ annual cost is actually lower than resin veneers—plus, no need for frequent replacements!
Conclusion: For durability, aesthetics, health, and long-term savings, porcelain veneers are the undisputed winner. Invest wisely—your smile deserves it!
