Case Presentation on Complete Denture Prosthodontics
Case Presentation on Complete Denture Prosthodontics
Patient Information:Age:78 Gender:Male, Chief Complaint:Difficulty in chewing due to missing all natural teeth
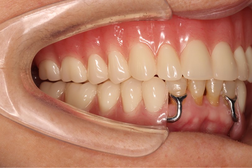
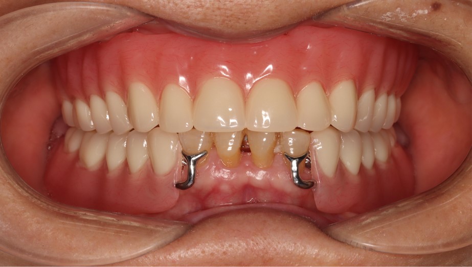
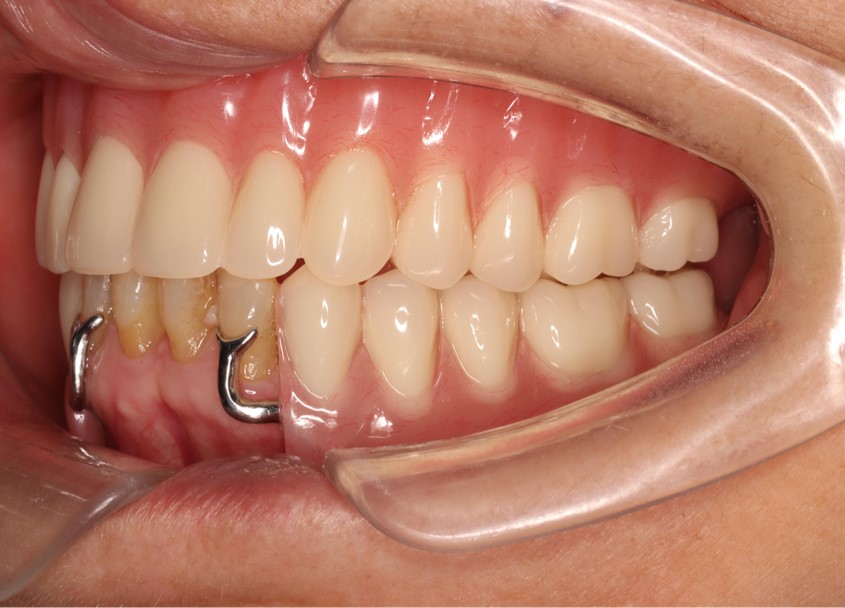
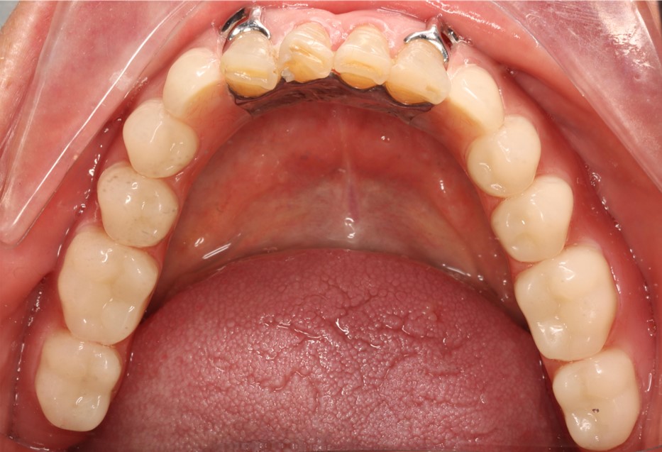
Intraoral examination reveals complete edentulous maxillary arch with four remaining natural teeth in the mandibular arch.

Prosthodontic Treatment Record (Excerpt)
1. Treatment Plan
- Maxillary Arch: Restoration with a semi-edentulous implant-supported overdenture, aiming to enhance retention and masticatory function.
- Mandibular Arch: Restoration with a pure titanium framework combined with resin teeth, ensuring both structural stability and aesthetic harmony.
2. Clinical Procedure Progress
1st Visit (Date: 2025.03.08): Conducted intraoral impression taking using appropriate impression material; completed occlusal relationship registration to confirm vertical dimension and horizontal jaw relation; fabricated preliminary wax pattern and performed in-mouth try-in to verify basic contour and occlusion.
2nd Visit (Date: 2025.03.22): Conducted re-try-in of the wax pattern. Checked the restoration’s adaptation to oral tissues, occlusal contact, and aesthetic effect (e.g., tooth shape, color, and smile line); confirmed patient’s satisfaction with the overall restoration effect through communication.
3rd Follow-up Visit (Date: _2025.04.19): Delivered the final removable denture. Instructed the patient on proper denture wearing, removal, and daily cleaning methods; advised the patient to adapt to the denture for 2-4 weeks. Informed the patient to schedule a follow-up appointment promptly if discomfort (e.g., sore spots, unstable retention, or abnormal occlusion) occurs for necessary adjustments.



Final Restoration Outcome After Delivery: Maxillary semi-edentulous implant-supported overdenture and mandibular restoration with pure titanium framework plus resin teeth.

