Case Presentation on Full-Mouth Smile Enhancement with 16 Ceramic Veneers
Case Presentation on Full-Mouth Smile Enhancement with 16 Ceramic Veneers

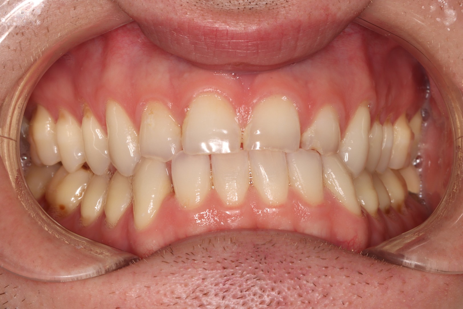
Male, 29 years old, From American. First Visit Date: 10/25/2024
All images have been published with the clients' consent
Clients' Chief Complaints:
1.Teeth are yellowish and not white enough; desires visible white teeth when smiling.
2.Front teeth are not large enough; requests dental veneers to increase the size of front teeth.
3.There are gaps between teeth; hopes dental veneers can close these gaps.



11/1/2024,
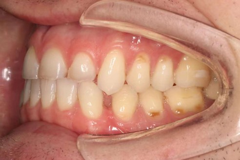
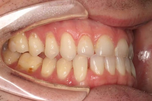
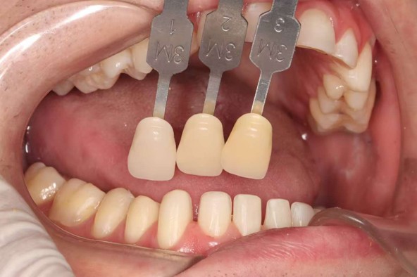
First Follow-up Visit, Duration 4 hours:Impression Taking, Tooth Preparation, Shade Selection, Fabrication of Provisional Resin Crowns
Impression Taking

Tooth Preparation

Shade Selection


Fabrication of Provisional Resin Crowns

11/12/2024 Second Follow-up,Duration: 3.5 hours; Procedure: Ceramic Veneer Bonding



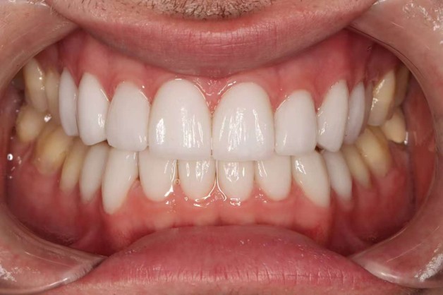
Before-and-After Comparison of Full-Mouth Veneer Restoration

The client is highly satisfied with the treatment effect; reports no discomfort during eating or speaking; expresses confidence in the new smile

Publiced by Dentist Tao from Lokmachau Branch