Case Prepration of Aesthetic Restoration of Maxillary Anterior Teeth with Ceramic Crowns
Case of Aesthetic Restoration of Maxillary Anterior Teeth with Ceramic Crown
Patient basic information:
Gender: Female
Age: 30 years old
First visit date:Nov.16th 2024
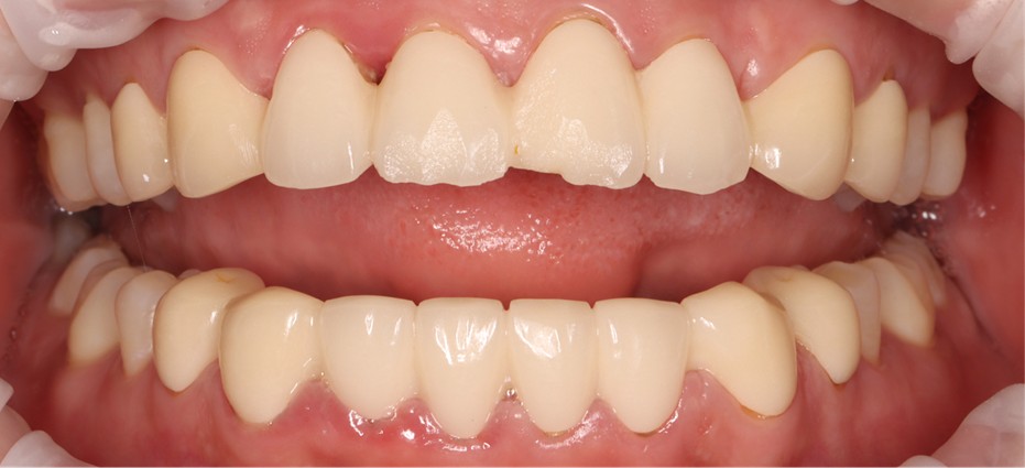
Chief complaint: The porcelain crown of the upper front tooth has been broken for several days and requires removal and restoration.
Present medical history: The patient underwent an all ceramic crown and bridge restoration of the upper and lower front teeth at an external hospital five years ago. Recently, the porcelain fracture occurred and the patient felt it was affecting their appearance. The patient came to our hospital and requested to have it removed before undergoing a single crown restoration
Medical history: denies any history of systemic diseases or drug allergies
Preoperative Examination:
Fractured porcelain on the incisal edges of teeth 11 and 21 (FDI numbering).
Gingival swelling and redness at the cervical margins of teeth 11, 12, 21, and 22, accompanied by gingival recession.
butment exposure with poor adaptation between the abutment and the restoration margin.
Black triangle present between teeth 11 and 12.
No obvious caries detected.
Maxillary and mandibular midlines are aligned.

Diagnosis: Tooth structure defect involving teeth 14-24 (FDI numbering).
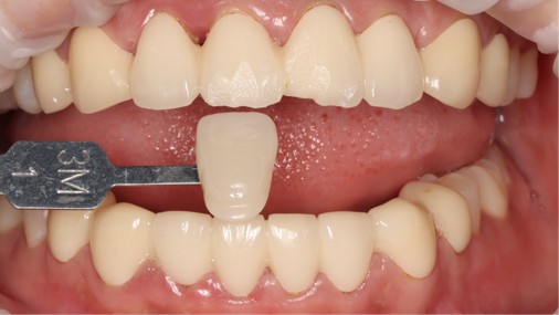
Preoperative shade matching photograph was taken to guide ceramic veneer fabrication.

Taking preoperative alginate impressions for prosthetic design and evaluation.

After abutment preparation completion, silicone rubber working impressions were taken; the margins (shoulders) are intact with no air bubbles, meeting the requirements for prosthetic fabrication
Protemp Temporary Resin Material + Guide Plate were used for restoring the initial appearance after abutment preparation.

Follow-up date:Nov.30th 2024
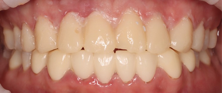
After the ceramic veneer try-in, the restoration was inspected to be intact, with the shade consistent with the shade guide


After shade verification and occlusal adjustment, the patient reported no discomfort in occlusion or speech. Restoration Delivery Completed

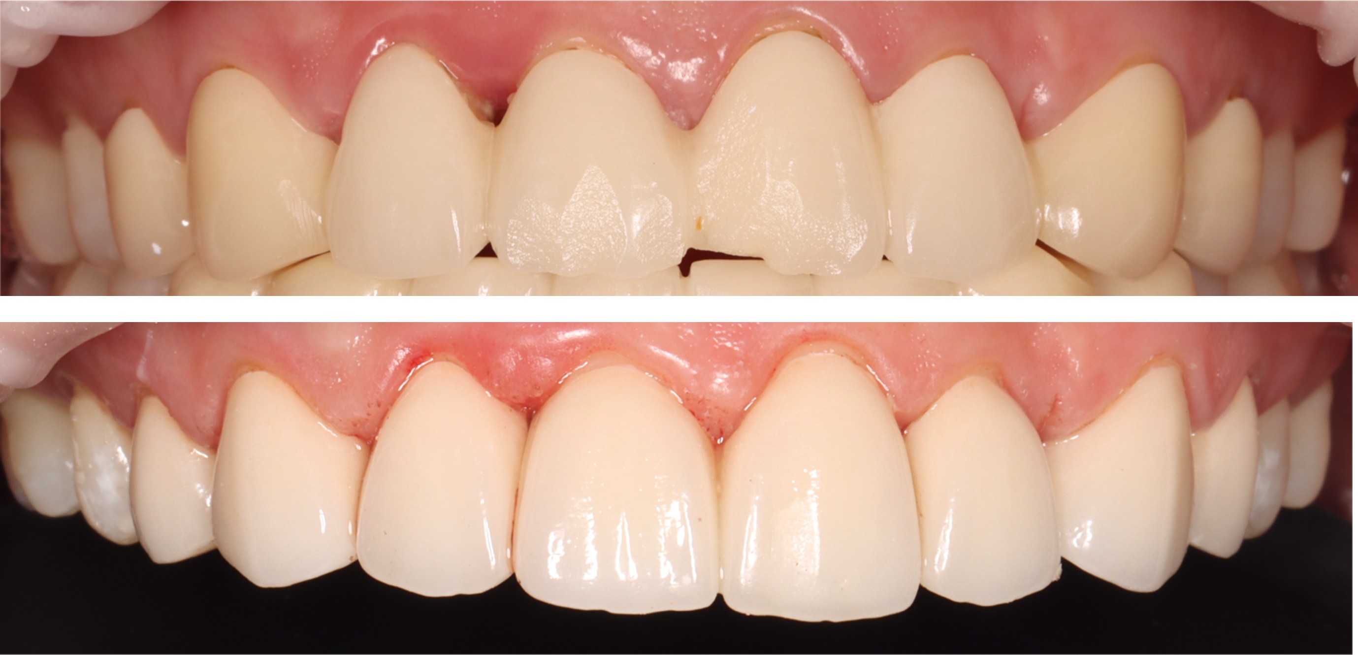
The before-and-after comparison of restoration shows significant improvement in tooth color and shape

Summary:
Single crown restoration was performed to reduce the risk of subsequent secondary restoration involving the removal of splinted crowns due to tooth structure-related issues. After restoration delivery, lateral and protrusive occlusion adjustments were conducted to prevent porcelain fracture caused by occlusal problems in the later stage. The crowns were seated with subgingival preparation, and the poor adaptation of the patient’s anterior teeth was improved. Prior to tooth preparation, supragingival scaling was performed first; tooth preparation was carried out after the gums had recovered to a normal state, thereby achieving a better aesthetic outcome.
Publiced by Dentist Liu Li from Lokmachau Branch