Case Report: Severe Tooth Structure Defect Restored with Zirconia Post and Core
Case Report: Severe Tooth Structure Defect Restored with Zirconia Post and Core

Patient basic information:
Gender: Female
Age:54years old
First visit date:6/20/2025
Case of Severe Tooth Structure Defect of Maxillary Anterior Teeth Restored with Zirconia Post and Core


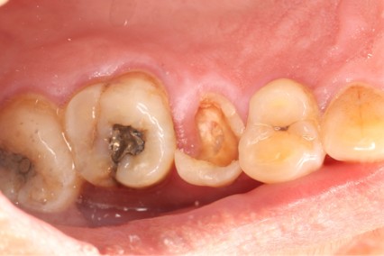
June 20, 2025: The patient's chief complaint is that endodontic treatment was performed on the right maxillary posterior tooth abroad, and a deep carious lesion has been recently detected, requiring restoration. The following are the intraoral photographs taken upon the patient's first visit: a large carious lesion is visible on the occlusal surface of tooth 15 (FDI numbering), with only the buccal wall remaining. Percussion test and cold-hot stimulation test showed no response, and yellow obturation material is visible at the root canal orifices.

Panoramic radiograph shows inadequate obturation (radiolucent area) with white radiopaque material in the root canal of tooth 15
Treatment Plan: Given the patient’s refusal of extraction and implant placement, conservative treatment is adopted: retreatment of the root canal followed by post-and-core restoration.


August 1, 2025: Tooth preparation, gingival retraction, shade selection, and impression taking were performed sequentially; the patient tolerated the procedures well

July 5, 2025: Completion of root canal retreatment obturation

Crown & Zirconia Post and Core


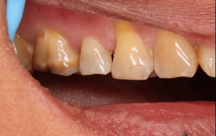
September 19, 2025: Delivery of zirconia post and core + all-ceramic crown for tooth 15; the margins are well-adapted with no occlusal high points, and the patient reported comfortable occlusion.
SUMMARY:
Post-delivery evaluation: Delivery of zirconia post and core + all-ceramic crown; the margins are well-adapted with no occlusal high points, meeting clinical restoration standards.
This is a typical case of severe tooth structure defect restored with zirconia post and core,
aiming to restore tooth function and aesthetic appearance.