Why does pain in one tooth cause pain in all teeth?
Why does pain in one tooth cause pain in all teeth?
1. Nerve Conduction Factors
Teeth in the oral cavity are innervated by the trigeminal nerve, whose branches (such as the superior alveolar nerve and inferior alveolar nerve) transmit sensory signals from the teeth. When inflammation or pain occurs in one tooth, nerve signals may spread to adjacent or ipsilateral teeth through the trigeminal nerve conduction pathway. This causes the brain to misjudge the source of pain, resulting in the sensation of pain in all teeth.


2. Spread of Infection
If tooth pain is caused by conditions like caries, pulpitis, or periapical periodontitis, the inflammation may gradually spread. For example, untreated pulpitis can lead to the spread of infection to the periapical tissues, and even affect adjacent teeth through periodontal tissues. This results in symptoms such as pain, sensitivity, or loosening in multiple teeth.


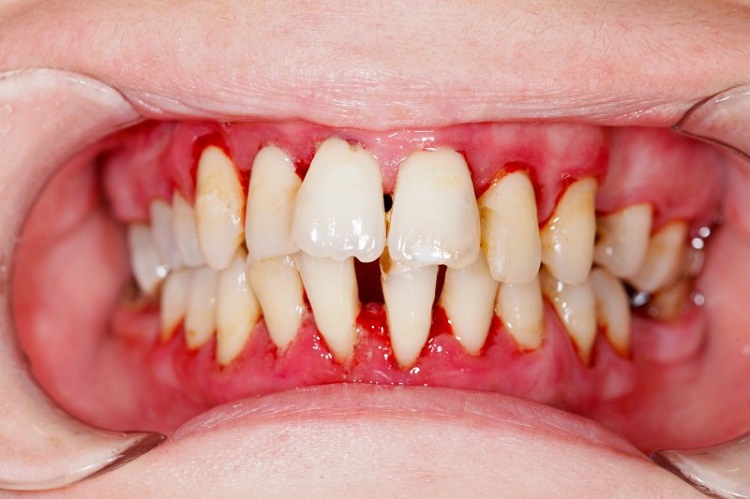
3. Periodontal Tissue Inflammation
Periodontitis is a common oral disease that can involve the gingiva, alveolar bone, and periodontal ligament of all teeth. When periodontitis worsens in one tooth, it may trigger inflammation of the periodontal tissues throughout the dentition. This leads to general tooth sensitivity and pain, which is particularly noticeable when chewing or coming into contact with hot, cold, sour, or sweet foods.

4. Psychological Factors and Pain Amplification
When experiencing tooth pain, the human nervous system may "amplify" pain signals. Especially when the pain is persistent or intense, the brain enhances the perception of pain, causing the patient to feel an expanded pain range. In addition, emotions such as anxiety and tension can exacerbate the subjective feeling of pain, making the patient perceive that all teeth are aching.

Recommendations
If pain in one tooth radiates to all teeth, seek medical attention promptly. Determine the cause through oral examinations, X-rays, and other means, and receive targeted treatment. Meanwhile, maintain good oral hygiene habits, undergo regular dental cleanings, and avoid excessive tooth wear to help prevent oral diseases.
