What should I do if my wisdom teeth are impacted or decayed?
What should I do if my wisdom teeth are impacted or decayed?
Wisdom teeth are something that most people will have to deal with in their lifetime, but we may not know much about it, for example, why do people have useless wisdom teeth? Why do wisdom teeth hurt? What are impacted wisdom teeth, cavities and inflammation? Is it necessary to remove wisdom teeth once they have grown?
What are wisdom teeth? What problems can wisdom teeth cause?
Wisdom teeth, commonly known as the third molars, are the last molars to grow in humans. They appear between the ages of 16 and 20. Why do we grow wisdom teeth? It can be said that it, like the appendix, is a product left over from human evolution. This type of tooth itself is used to chew harder foods such as tree roots and bark to facilitate digestion. However, as humans have evolved, food has become finer and easier to chew, and wisdom teeth are no longer needed, causing them to slowly degenerate. The lower jaw has also gradually become smaller, and there is no longer enough space or position for the jawbone to grow. But if it insists on growing out, it will cause many oral problems.
Impacted wisdom teeth
Impacted wisdom teeth are a condition caused by a serious deviation in the growth angle of the wisdom teeth. When the wisdom teeth and gums are close to 90 degrees vertical, it is called "impacted wisdom teeth." Impacted wisdom teeth are more likely to become impacted, meaning that the wisdom teeth lack space to grow above the gums because they are blocked by other teeth. Impacted wisdom teeth can cause inflammation, toothache, and periodontal disease, so extraction should be considered depending on the situation.
Wisdom tooth decay
Wisdom teeth are prone to impaction. Impacted wisdom teeth are very difficult to clean, both on the teeth themselves and in the gaps between other teeth. Food debris and dental plaque can easily accumulate, making wisdom teeth more difficult to clean. Prone to tooth decay, if this is the case, it is recommended to remove wisdom teeth to eradicate the problem.
Wisdom tooth inflammation
The space between the crown of the wisdom tooth and the gums is an area where food debris is most likely to accumulate. If this causes the gums to become inflamed and swollen, it may lead to complications such as fever and headaches, and may also make it difficult for the patient to open his mouth to speak, chew and swallow. Food is difficult to come by and in the worst cases it can be life-threatening.
It is often said that wisdom tooth extraction is necessary because problems such as impacted wisdom teeth, wisdom tooth inflammation, and wisdom tooth pain often accompany them. So should we remove the teeth and undergo wisdom tooth surgery? Because wisdom teeth appear when the mouth is fully developed, they have to squeeze out a little space in the originally fully developed mouth to grow. When there is not enough space in the mouth for them to grow, the angle of wisdom teeth growth, such as impacted wisdom teeth, may The mouth becomes crowded and sometimes may not even grow completely. When growth is improper, it will cause damage to the teeth and overall oral health, including infection, pain, inflammation and swelling. So do I need to have my wisdom teeth removed? I believe everyone has a positive answer.

Do wisdom teeth have to be removed? Can wisdom tooth removal keep your mouth healthy?
Because these teeth grow in a poor place, especially the wisdom teeth in the lower jaw, there is often insufficient space for them to grow, resulting in abnormal growth. When these teeth do not grow well and cannot be cleaned, dentists will recommend extracting them as soon as possible to solve oral problems such as wisdom tooth inflammation, wisdom tooth pain, and wisdom tooth decay. Removing wisdom teeth at the right time is a sign of wisdom.

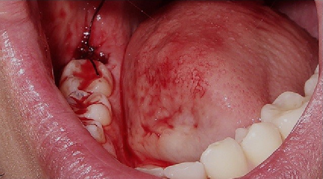
General Tooth Extraction
Generally speaking, the tooth extraction/stripping process is actually very simple, and the dental team has extensive experience in extracting wisdom teeth and performing wisdom tooth surgery. Before the wisdom tooth surgery, they will take an X-ray of the patient, explain the entire wisdom tooth surgery process, and the charges for wisdom tooth removal. The second step is that at the beginning of the wisdom tooth surgery, the dentist will give the patient local anesthesia. When the patient enters the anesthesia state, the dentist will use a dental elevator to loosen the gums and then use surgical forceps to remove it. However, in some cases, the dentist may need to make an incision on the surface of the patient's gums first, or divide the wisdom tooth into several parts before starting to remove the wisdom tooth. The entire wisdom tooth surgery can be performed with only local anesthesia, and the price of wisdom tooth extraction is clearly stated in advance so that patients have a clear idea of the price of wisdom tooth extraction.


Post-operative care after wisdom tooth removal
After tooth extraction or stripping, the patient is likely to feel redness, swelling and pain at the site of the wisdom tooth removal. The site of the wisdom tooth removal is more likely to bleed. During the recovery period after wisdom tooth extraction, be careful not to dislodge the blood clot or injure the healing gums. It usually takes a few days to recover from wisdom tooth removal. However, depending on their growth conditions (impacted wisdom teeth) and the impact they cause, the recovery time after wisdom tooth removal may be as long as several weeks. Don't be too nervous during the wound healing period. Generally, you can return to your normal life just one day after wisdom tooth surgery. You only need to take the prescribed painkillers recommended by the dentist on time. Do not brush your teeth, avoid flossing, and limit your use of mouthwash or spitting within 24 hours after surgery. If you want to keep your mouth clean, you can rinse your mouth with mild salt water from time to time. Do not do any activities that may dislodge the blood clots or engage in strenuous exercise within one week after wisdom tooth removal. After the surgery, when the condition improves, you can try to eat softer foods such as porridge, apple juice, cheese and When drinking soft cheese, it is best not to use a straw, because when sipping, it may affect the wound where the tooth was pulled out, preventing it from healing quickly. Then, one week after the wisdom tooth removal, you will need to return to the clinic for a follow-up visit and the dentist will remove the stitches for you.


