Types of Oral Diseases and Free Dental Services by Lokmachau Vickong Dental
Types of Oral Diseases and Free Dental Services by Lokmachau Vickong Dental
1. Introduction
Maintaining good oral health is crucial for our overall well - being. However, various oral diseases can affect people of all ages. In this article, we will explore the common types of oral diseases and introduce the excellent free dental services provided by Lokmachau Vickong Dental to Hong Kong citizens.
2. Types of Oral Diseases
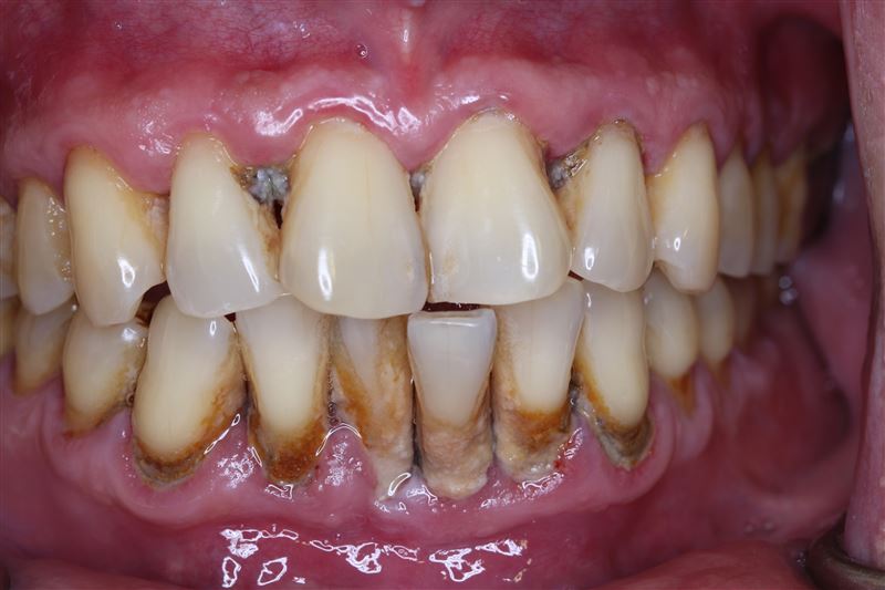
2.1 Dental Caries
Also known as tooth decay or cavities, dental caries is one of the most prevalent oral diseases. It is caused by the demineralization of tooth enamel due to the action of bacteria in plaque. These bacteria produce acids that break down the minerals in the teeth, leading to the formation of holes or cavities. If left untreated, dental caries can progress and cause pain, infection, and even tooth loss.

2.2 Periodontal Diseases
Periodontal diseases affect the tissues that support the teeth, including the gums, periodontal ligament, and alveolar bone. Gingivitis is the mildest form, characterized by red, swollen, and bleeding gums. If not treated, it can progress to periodontitis, which involves the destruction of the supporting tissues, leading to tooth mobility and eventual tooth loss. Risk factors for periodontal diseases include poor oral hygiene, smoking, diabetes, and genetic predisposition.

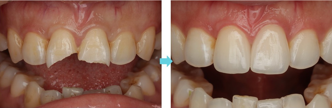
2.3 Dental Trauma
Dental trauma can result from accidents such as falls, sports injuries, or physical assaults. It can range from simple tooth fractures to more severe injuries like tooth avulsion (complete displacement of the tooth from the socket). Prompt treatment is essential to save the tooth and prevent further complications.

3. Lokmachau Vickong Dental's Free Services

At Lokmachau Vickong Dental, we are committed to improving the oral health of Hong Kong citizens. To this end, we offer free CT examinations and oral endoscope examinations.
3.1 Free CT Examinations
Our state - of - the - art CT equipment can provide detailed images of the teeth, jaws, and surrounding structures. This helps our dentists accurately diagnose various oral conditions, such as hidden dental caries, impacted teeth, and jawbone problems. Early detection through CT examinations can lead to more effective treatment and better oral health outcomes.

3.2 Free Oral Endoscope Examinations
Oral endoscope examinations allow our dentists to closely observe the condition of the teeth, gums, and oral mucosa. With this high - definition imaging technology, we can detect early signs of oral diseases that may not be visible to the naked eye, such as small cavities and gum inflammation. This enables us to provide timely treatment and preventive advice.
3.3 Free Family Oral Doctors

Moreover, all doctors at the branches of Vickong Dental chain are the free family oral doctors for Hong Kong citizens. We offer personalized oral health care plans for each family member, taking into account their age, oral health status, and individual needs. Whether it's routine check - ups, dental cleanings, or treatment for oral diseases, our doctors are here to provide professional and caring services.
4. Conclusion
Understanding the types of oral diseases is the first step towards maintaining good oral health. With Lokmachau Vickong Dental's free CT examinations, oral endoscope examinations, and free family oral doctor services, Hong Kong citizens can take better care of their oral health. Don't hesitate to visit any of our Dental group and let us help you achieve a healthy and beautiful smile.
Contact us today to make an appointment!